BTL Polska Sp. z o.o.
BTL Polska Sp. z o.o.
Adres: Leonidasa 49, 02-239 Warszawa
Telefon: 22 667 02 76
WWW: https://www.btlnet.pl/

Podgląd wizytówki
INTIMEX
INTIMEX sp. z o.o. sp. k.
Adres: Egejska 19/39, 02-764 Warszawa
Telefon: +48 22 6687465
WWW: https://intimex.com.pl/

Podgląd wizytówki
Mindray
Mindray Medical Poland
Adres: Cybernetyki 9, 02-677 Warszawa
Telefon: 22 463 80 80
WWW: www.mindray.com

Podgląd wizytówki
Dräger Polska
Dräger Polska Sp. z o.o.
Adres: Posag 7 Panien 1, 02-495 Warszawa
Telefon: 22 243 06 58
WWW: https://www.draeger.com/pl_pl/Home

Podgląd wizytówki
ENDOELEKTRONIK.PL SP. Z O.O. SP.K.
ENDOELEKTRONIK.PL SP. Z O.O. SP.K.
Adres: ul. Borkowa 12, 05-840 Brwinów
Telefon: 22 758 51 48
WWW: https://endoelektronik.pl/

Podgląd wizytówki
SONOSCAPE MEDICAL CORP.
SONOSCAPE MEDICAL CORP.
Adres: Guangming District, Guangdong, 518107 Shenzhen
Telefon: +48 784 894 276
WWW: www.sonoscape.com

Podgląd wizytówki
Intelimedical
Intelimedical Poland Sp. z o.o.
Adres: ul. Kasprowicza 4, 10-220 Olsztyn
Telefon: +48 22 599 42 23
WWW: https://intelimedical.pl/

Podgląd wizytówki

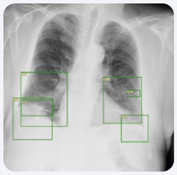
Carebot AI CXR


Carebot AI CXR

Carebot AI CXR - Rozwiązanie dla badań RTG klatki piersiowej

Oprogramowanie dokonuje ich oceny badań RTG klatki piersiowej. To umożliwia lekarzom szybszą ocenę większej liczby wykonanych badań. Zastosowanie sztucznej inteligencji pomaga postawić odpowiednią diagnozę w krótszym czasie.

Korzyści płynące z wdrożenia systemu Carebot

  • Dokładniejsze wyniki
  • Szybsza diagnoza
  • Zdjęcie potwierdzone za pomocą innego odczytu dzięki AI
  • Bezpośrednia integracja z systemem PACS
  • Dostępność bogatego doświadczenia lekarzy na wyciągnięcie ręki
  • Więcej czasu na wywiad zdrowotny pacjenta
Diagnostyczne: Tak
Interfejs w języku polskim: Tak
Brak akcesoriów
Brak materiałów dodatkowych

Nie wybrano pliku
Maksymalny rozmiar załącznika to 10MB.
Pole zgody na przetwarzanie danych osobowych jest wymagane.
Synektik S.A.
00-728 Warszawa, Dziekońskiego 3
Telefon: 22 327 09 00
E-mail: Wyślij wiadomość
Przedstawiciel:
Synektik S.A.
1 produkt w ofercie
Oferta Wyślij zapytanie
Synektik S.A.
00-728 Warszawa
Dziekońskiego 3
Telefon: 22 327 09 00
E-mail: Wyślij wiadomość
Przedstawiciel:
Synektik S.A.
Nieautoryzowany serwis