BTL Polska Sp. z o.o.
BTL Polska Sp. z o.o.
Adres: Leonidasa 49, 02-239 Warszawa
Telefon: 22 667 02 76
WWW: https://www.btlnet.pl/

Podgląd wizytówki
INTIMEX
INTIMEX sp. z o.o. sp. k.
Adres: Egejska 19/39, 02-764 Warszawa
Telefon: +48 22 6687465
WWW: https://intimex.com.pl/

Podgląd wizytówki
Mindray
Mindray Medical Poland
Adres: Cybernetyki 9, 02-677 Warszawa
Telefon: 22 463 80 80
WWW: www.mindray.com

Podgląd wizytówki
Dräger Polska
Dräger Polska Sp. z o.o.
Adres: Posag 7 Panien 1, 02-495 Warszawa
Telefon: 22 243 06 58
WWW: https://www.draeger.com/pl_pl/Home

Podgląd wizytówki
ENDOELEKTRONIK.PL SP. Z O.O. SP.K.
ENDOELEKTRONIK.PL SP. Z O.O. SP.K.
Adres: ul. Borkowa 12, 05-840 Brwinów
Telefon: 22 758 51 48
WWW: https://endoelektronik.pl/

Podgląd wizytówki
SONOSCAPE MEDICAL CORP.
SONOSCAPE MEDICAL CORP.
Adres: Guangming District, Guangdong, 518107 Shenzhen
Telefon: +48 784 894 276
WWW: www.sonoscape.com

Podgląd wizytówki
Intelimedical
Intelimedical Poland Sp. z o.o.
Adres: ul. Kasprowicza 4, 10-220 Olsztyn
Telefon: +48 22 599 42 23
WWW: https://intelimedical.pl/

Podgląd wizytówki

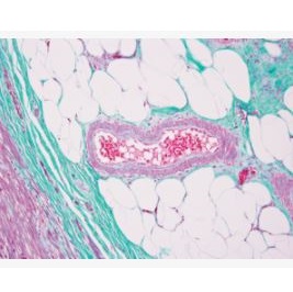
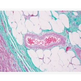
LEICA Gomori's Trichome


LEICA Gomori's Trichome

Gomori's Trichome

Green collagen

Barwienie trichrome jest używane do identyfikacji włókien mięśniowych, kolagenu i jąder.

Może być wykorzystywane do kontrastowania mięśni gładkich, szkieletowych i sercowego.

Zestaw Gomoris Trichrome jest uproszczeniem bardziej skomplikowanych systemów.

Łączy barwnik cytoplazmatyczny (chromotrope 2R) oraz barwienie tkanki łącznej Gomoris Green – co daje wyraziste, kontrastowe barwienie.

Zawartość opakowania wystarcza na ok. 250 testów.

Długość protokołu ok. 110 minut.

Jeżeli tkanka została utrwalona w roztworze Bouins można zrezygnować z tego kroku w zestawie.

Wynik barwienia:

– włóka mięśniowe – kolor czerwony

– kolagen – kolor zielony

– jądra – kolor czarny

Tkanka kontrolna – każda zawierająca włókna mięśniowe i kolagen

Dostępne opakowania:

  1. 38016SS1 – zestaw (pięć odczynników)
  2. 38016SS1A – BOUINS SOLUTION, 500ml
  3. 38016SS1B – 1% ACETIC ACID, 500ml
  4. 38016SS1C – WEIGERTS HEMATOXYLIN (SOLUTION A), 250ml
  5. 38016SS1D – WEIGERTS HEMATOXYLIN (SOLUTION B), 250ml
  6. 38016SS1E – GOMORIS GREEN SOLUTION, 500ml

Blue collagen

 

Barwienie trichrome jest używane do identyfikacji włókien mięśniowych, kolagenu i jąder.

Może być wykorzystywane do kontrastowania mięśni gładkich, szkieletowych i sercowego.

Zestaw Gomoris Trichrome jest uproszczeniem bardziej skomplikowanych systemów.

Łączy barwnik cytoplazmatyczny (chromotrope 2R) oraz barwienie tkanki łącznej Gomoris Green – co daje wyraziste, kontrastowe barwienie

Zawartość opakowania wystarcza na ok. 250 testów.

Długość protokołu ok. 110 minut.

Jeżeli tkanka została utrwalona w roztworze Bouins można zrezygnować z tego kroku w zestawie.

Wynik barwienia:

– włóka mięśniowe – kolor czerwony

– kolagen – kolor niebieski

– jądra – kolor czarny

Tkanka kontrolna – każda zawierająca włókna mięśniowe i kolagen

Dostępne opakowania:

  1. 38016SS2 – zestaw (pięć odczynników)
  2. 38016SS1A – BOUINS SOLUTION, 500ml
  3. 38016SS1B – 1% ACETIC ACID, 500ml
  4. 38016SS1C – WEIGERTS HEMATOXYLIN (SOLUTION A), 250ml
  5. 38016SS1D – WEIGERTS HEMATOXYLIN (SOLUTION B), 250ml
  6. 38016SS2E – GOMORIS BLUE SOLUTION, 500ml
Brak parametrów
Brak akcesoriów
Brak materiałów dodatkowych

Nie wybrano pliku
Maksymalny rozmiar załącznika to 10MB.
Pole zgody na przetwarzanie danych osobowych jest wymagane.
KAWA.SKA
05-540 Zalesie Górne, ul. Zaczarowanej Róży 1
Telefon: 22 756 57 65
E-mail: Wyślij wiadomość
Przedstawiciel:
Przemysław Kawczyński
1 produkt w ofercie
Oferta Wyślij zapytanie
KAWA.SKA
05-540 Zalesie Górne
ul. Zaczarowanej Róży 1
Telefon: 22 756 57 65
E-mail: Wyślij wiadomość
Przedstawiciel:
Przemysław Kawczyński
Serwisowani producenci (1): LEICA
Nieautoryzowany serwis