BTL Polska Sp. z o.o.
BTL Polska Sp. z o.o.
Adres: Leonidasa 49, 02-239 Warszawa
Telefon: 22 667 02 76
WWW: https://www.btlnet.pl/

Podgląd wizytówki
INTIMEX
INTIMEX sp. z o.o. sp. k.
Adres: Egejska 19/39, 02-764 Warszawa
Telefon: +48 22 6687465
WWW: https://intimex.com.pl/

Podgląd wizytówki
Dräger Polska
Dräger Polska Sp. z o.o.
Adres: Posag 7 Panien 1, 02-495 Warszawa
Telefon: 22 243 06 58
WWW: https://www.draeger.com/pl_pl/Home

Podgląd wizytówki
Mindray
Mindray Medical Poland
Adres: Cybernetyki 9, 02-677 Warszawa
Telefon: 22 463 80 80
WWW: www.mindray.com

Podgląd wizytówki
MIRO
MIRO Sp. z o.o.
Adres: Mińska 25B lok U1, 03-808 Warszawa
Telefon: 22 230 20 40
WWW: https://miro-med.pl/

Podgląd wizytówki
SONOSCAPE MEDICAL CORP.
SONOSCAPE MEDICAL CORP.
Adres: Guangming District, Guangdong, 518107 Shenzhen
Telefon: +48 784 894 276
WWW: www.sonoscape.com

Podgląd wizytówki
Intelimedical
Intelimedical Poland Sp. z o.o.
Adres: ul. Kasprowicza 4, 10-220 Olsztyn
Telefon: +48 22 599 42 23
WWW: https://intelimedical.pl/

Podgląd wizytówki

TeraRecon Aquarius


TeraRecon Aquarius

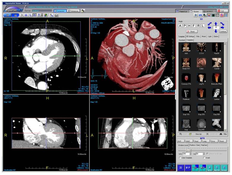
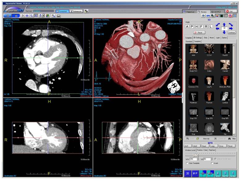
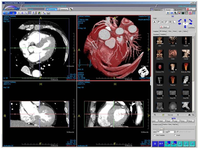
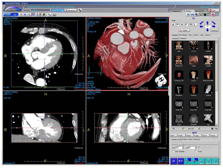
TERARECON AQUARIUS – PRZETWARZANIE DANYCH OBRAZOWYCH

TERARECON to, w pełni uniwersalna stacja robocza najwyższej klasy. Zabierz ze sobą stację roboczą Twojego szpitala wszędzie tam, gdzie sięga Internet.

System AQUARIUS™ produkcji firmy TERARECON stanowi unikalne, nowoczesne i łatwe w użyciu narzędzie przetwarzania danych obrazowych, pochodzących z aparatów diagnostycznych wszystkich producentów, udostępniających obrazy w standardzie DICOM. Obecnie system został wzbogacony o nowy interfejs użytkowinika Intuition, jeszcze bardziej ułatwiający pracę i pomagający jeszcze lepiej skupić się na istotnej treści diagnostycznej obrazu.

MOŻLIWE KONFIGURACJE SYSTEMU:

  • Dedykowana stacja robocza wraz z dobranymi do potrzeb klienta aplikacjami diagnostycznymi,
  • Serwer obrazowy o pojemności dyskowej do 2,1 TB i pamięci obrazowej do 16 GB (możliwość równoczesnego przetwarzania zbiorów do 27 200 obrazów łącznie!). Jednocześnie może być podłączonych do serwera wielu użytkowników, korzystających z komputerów osobistych bez konieczności instalowania na nich dodatkowego oprogramowania. Serwer ma standartowo zainstalowane wszystkie dostępne aplikacje diagnostyczne.

SYSTEM AQUARIUS™ TO:

  • Znakomity system przetwarzania danych obrazowych o ogromnej mocy obliczeniowej i pojemności pamięci, bardzo wysokiej wydajności diagnostycznej, ergonomii i intuicyjnej obsłudze;
  • Uniwersalność – Aquarius™ współpracuje z każdym rodzajem cyfrowego sprzętu diagnostyki obrazowej, od każdego producenta. Nie stwarza ograniczeń stawianych zazwyczaj przez producentów sprzętu, dedykujących swoje stacje do współpracy z własnymi produktami;
  • Mobilność – możliwość pracy nad opisywaniem badań z wykorzystaniem pełnej mocy obliczeniowej systemu w dowolnym miejscu, w którym dostępne jest dostatecznie szybkie łącze sieciowe;
  • Sprawność pracy – serwer preprocessingowy i system predefiniowanych procedur manipulacji obrazem eliminują mozolne, rutynowe czynności;
  • Szybkość działania także w trybie zdalnym – serwer systemu AquariusNET przejmuje na siebie całą pracę obliczeniową, a moduł sieciowy AquariusGATE optymalizuje przesyłanie danych;
  • Elastyczność, łatwa dostępność dla wielu użytkowników, a jednocześnie niższe koszty stanowisk do opisu badań. Podłączenie kolejnego komputera osobistego do systemu nie wymaga zakupu odrębnej licencji na oprogramowanie;
  • Zautomatyzowane wstępne przetwarzanie danych, oszczędzające czas pracy wykwalifikowanego personelu;
  • Łatwość uzyskania konsultacji bardziej doświadczonych diagnostów za pośrednictwem sieci,
  • Połączenia telekonferencyjne i sesje edukacyjne,
  • Pełna integracja danych obrazowych z zakładu diagnostycznego w jednym systemie,
  • Możliwość kontroli – nawet zdalnej – przez kierownika placówki diagnostycznej aktualnie wykonywanych i opisywanych w placówce badań,
  • Bezpieczeństwo przesyłania danych – dane w pakietach są kodowane i niedostępne dla osób postronnych,
  • Bezpieczeństwo przechowywania danych – serwer jest dobrze zabezpieczony przed utratą danych. Wszystkie serwery wyposażone są w równoległe, bliźniacze układy zasilające, na życzenie klienta firma TeraRecon instaluje bliźniacze jednostki pamięci.

APLIKACJE DIAGNOSTYCZNE SYSTEMU AQUARIUS™

Dotyczą przede wszystkim (ale nie tylko) przetwarzania danych trójwymiarowej tomografii komputerowej i rezonansu magnetycznego. Są to:

  • Volume Rendering: prezentacje zbioru danych objętościowych w postaci rekonstrukcji przestrzennych, powierzchniowych i wielopłaszczyznowych;
  • Vascular Analysis: uwidocznienie naczyń w prezentacji trójwymiarowej wraz z zaawansowanymi i wysoce zautomatyzowanymi pomiarami;
  • Time Volume Analysis (TVA): analiza zmian objętości w czasie na podstawie badań wielofazowych, przede wszystkim do oceny funkcji mięśnia sercowego;
  • Time Density Analysis (TDA): narzędzie oceny perfuzji tkanek w wielofazowych badaniach kontrastowych;
  • Flythrough: wirtualna endoskopia do oceny światła dróg oddechowych, jelit i naczyń;
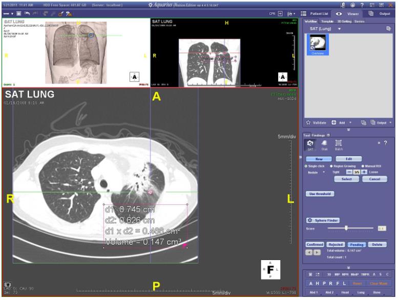
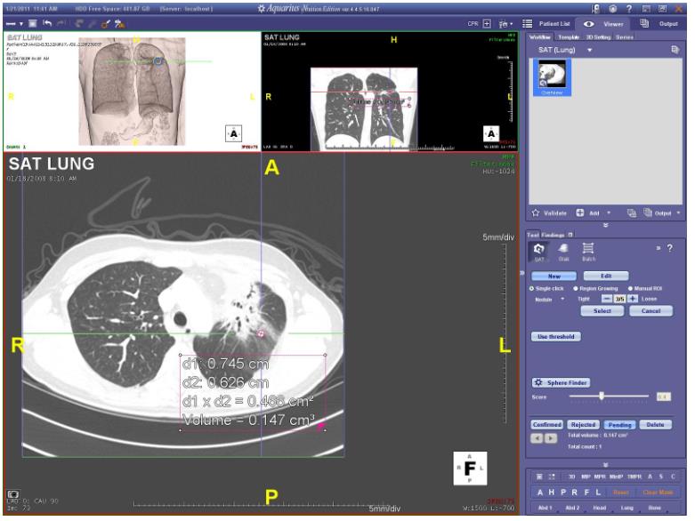
  • Segmentation Analysis and Tracking (SAT): program do monitorowania zmian objętości struktur, np. guzów nowotworowych w kolejnych badaniach;
  • Calcium Scoring – powszechnie uznana metoda oceny stopnia zaawansowania miażdżycy naczyń wieńcowych;
  • Pomiary – ponadto, w systemie Aquarius™ możliwe są wszystkie typowe pomiary na obrazach takie jak odległości, pola, kąty itp.

Trzeba nadmienić, że system pozwala również na przetwarzanie i przechowywanie obrazów pochodzących ze wszelkich innych urządzeń diagnostycznych, pracujących w systemie DICOM, takich jak PET, GAMMA-KAMERY, RENTGENY CYFROWE CZY ULTRASONOGRAFY. Możliwe jest też nakładanie obrazów uzyskanych różnymi technikami oraz zaawansowane REKONSTRUKCJE STOMATOLOGICZNE.

NAJWYŻSZA TECHNOLOGIA, ERGONOMIA I WSZECHSTRONNE MOŻLIWOŚCI

Zarówno stacja robocza, jak i serwer, są wyposażone w nadzwyczajnej mocy procesor danych obrazowych VolumePro. Inne istotne elementy systemu to AQUARIUSAPS – serwer dokonujący wstępnej obróbki danych oraz AQUARIUSGATE, czyli zaawansowany układ pakietowania danych, pozwalający na osiągnięcie niespotykanej szybkości przesyłu zbiorów obrazowych w sieci.

Szczególną cechą systemu AQUARIUS™, pracującego w trybie serwera, jest możliwość jednoczesnej pracy w systemie wielu użytkowników za pośrednictwem ich komputerów osobistych. Komputery te nie muszą mieć specjalnego oprogramowania ani dedykowanego łącza; wystarczy znajomość hasła dostępu i zapewnienie dostatecznie szybkiego połączenia szpitalną albo publiczną siecią internetową.

Użytkownik podłączony do systemu (tzw. THIN CLIENT) korzysta z tego samego interfejsu, jak gdyby pracował na dedykowanej stacji roboczej. Wszystkie operacje obliczeniowe są dokonywane na serwerze, a komputer użytkownika tylko wysyła polecenia i odbiera wyniki dostarczane przez serwer. Pozwala to na osiągnięcie ogromnej szybkości działania i uniknięcie konieczności przesyłania bardzo duzych zbiorów danych, jak również mozolnego wprowadzania ewentualnych przyszłych usprawnień programowych na komputer osobisty. Działając w systemie AQUARIUS™, użytkownik może wykonać, zarchiwizować i wydrukować lub przesłać opis badania wraz z załączonymi wybranymi obrazami, jak również zapisać wybrane obrazy w formacie zgodnym z systemem Windows. Dodatkowa zaletą modułu archiwizacji obrazów jest możliwość zapamiętania poszczególnych etapów toku przetwarzania danych, pozwalająca na późniejszą reasumpcję tego procesu.

Praca w systemie AQUARIUS™ jest w najwyższym stopniu ergonomiczna. Między innymi dzięki zastosowaniu modułu preprocessingu AQUARIUSAPS wyeliminowano mozolne czynności związane np. z wyborem obszaru zainteresowania czy określeniem przebiegu naczynia podlegającego pomiarom. Wszystkie tego typu operacje dokonywane są „jednym kliknięciem” lub nawet w trybie całkowicie automatycznym w trakcie przesyłania danych z urządzenia diagnostycznego do pamięci serwera obrazowego. Serwer preprocessingowy AQUARIUSAPS wykonuje automatycznie wiele czynności całkowicie niewykonalnych na większości innych stacji roboczych, jak np. całkowite usunięcie obrazu kości z trójwymiarowych rekonstrukcji naczyniowych lub automatyczne wyświetlenie nazw poszczególnych naczyń w podobnie „oczyszczonym” z mięśnia obrazie tętnic wieńcowych. Jednocześnie, operator nie staje się niewolnikiem automatyki, mając w każdej chwili możliwość ręcznej korekty działania programu.

Dodatkowe usprawnienie stanowi zespół z góry zdefiniowanych wieloetapowych protokołów przetwarzania danych dla poszczególnych aplikacji klinicznych. Dzięki nim system wykonuje automatycznie większość rutynowych manipulacji przestrzennych, a użytkownik tylko ewentualnie koryguje wyniki na poszczególnych etapach w celu lepszego uwidocznienia interesujących go szczegółów. Protokoły zawierają w sobie także parametry prezentacji trójwymiarowej, zoptymalizowane pod kątem konkretnego zastosowania. Poza protokołami dostarczonymi przez producenta, użytkownik systemu może definiować i zapamiętywać własne protokoły przetwarzania.

Inną zaawansowaną opcją sieciową systemu AQUARIUS™ jest możliwość porozumiewania się użytkowników, dzięki której jeden „Thin Client” może – za zgodą drugiego – otworzyć i modyfikować zawartość otwartego na jego komputerze okna. Ponadto, uzyskane wyniki mogą zostać udostępnione odbiorcy pracującemu w sieci Internet bez konieczności instalowania przez niego specjalnego oprogramowania – wystarczy podanie hasła i adresu sieciowego, pod którym znajdują się określone dane wynikowe. Stwarza to znakomite warunki do zdalnej konsultacji i zdalnego nauczania.

Brak parametrów
Brak akcesoriów

Nie wybrano pliku
Maksymalny rozmiar załącznika to 10MB.
Pole zgody na przetwarzanie danych osobowych jest wymagane.
Chcesz poznać ofertę tego produktu? Skontaktujemy Cię z dystrybutorem. Napisz do nas medipment@amdg.net.pl, zadzwoń 663 263 423, lub wybierz czat online w prawym dolnym rogu.
Partner premium
MIRO
03-808 Warszawa
Mińska 25B lok U1
Telefon: 22 230 20 40
E-mail: Wyślij wiadomość
Przedstawiciel:
Dział Obsługi Klienta
Serwisowani producenci (1): TeraRecon
Nieautoryzowany serwis