BTL Polska Sp. z o.o.
BTL Polska Sp. z o.o.
Adres: Leonidasa 49, 02-239 Warszawa
Telefon: 22 667 02 76
WWW: https://www.btlnet.pl/

Podgląd wizytówki
INTIMEX
INTIMEX sp. z o.o. sp. k.
Adres: Egejska 19/39, 02-764 Warszawa
Telefon: +48 22 6687465
WWW: https://intimex.com.pl/

Podgląd wizytówki
Mindray
Mindray Medical Poland
Adres: Cybernetyki 9, 02-677 Warszawa
Telefon: 22 463 80 80
WWW: www.mindray.com

Podgląd wizytówki
Dräger Polska
Dräger Polska Sp. z o.o.
Adres: Posag 7 Panien 1, 02-495 Warszawa
Telefon: 22 243 06 58
WWW: https://www.draeger.com/pl_pl/Home

Podgląd wizytówki
MIRO
MIRO Sp. z o.o.
Adres: Mińska 25B lok U1, 03-808 Warszawa
Telefon: 22 230 20 40
WWW: https://miro-med.pl/

Podgląd wizytówki
SONOSCAPE MEDICAL CORP.
SONOSCAPE MEDICAL CORP.
Adres: Guangming District, Guangdong, 518107 Shenzhen
Telefon: +48 784 894 276
WWW: www.sonoscape.com

Podgląd wizytówki
Intelimedical
Intelimedical Poland Sp. z o.o.
Adres: ul. Kasprowicza 4, 10-220 Olsztyn
Telefon: +48 22 599 42 23
WWW: https://intelimedical.pl/

Podgląd wizytówki

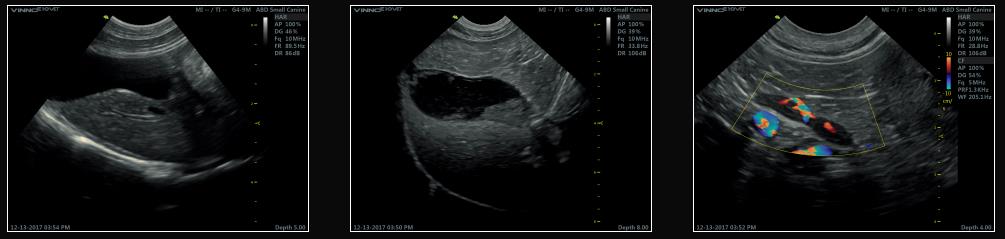
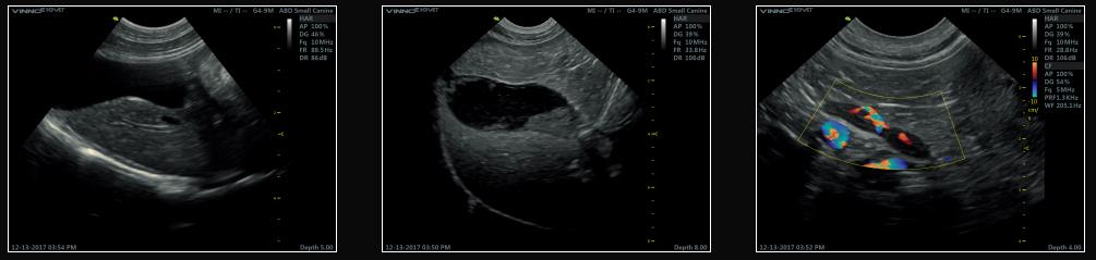
Vinno E10 VET


Vinno E10 VET

VINNO E10 VET

Ultrasonograf weterynaryjny z zaawansowaną technologią.

Cechy produktu:

  • stacjonarny, dopplerowski ultrasonograf weterynaryjny do wielu zastosowań klinicznych
  • szeroki wybór głowic obrazowych
  • 10-calowy panel do wygodnego zarządzania dostępnymi funkcjonalnościami
  • Innowacyjna platforma RF – przetwarzanie sygnału RF w celu uzyskania lepszej rozdzielczości i definicji
  • szerokie możliwości post processingu obrazów, również w trybie Dopplera

Dlaczego Vinno E10 VET?

Stacjonarny ultrasonograf weterynaryjny VINNO E10 VET to doskonałe rozwiązanie dla klinik ceniących sobie dobrą jakość. Weterynaryjny aparat USG pozwala na badanie zarówno dużych, jak i małych (w tym egzotycznych) zwierząt. System został zbudowany w taki sposób, by praca z nim była jak najwygodniejsza. Ultrasonograf weterynaryjny posiada duży, 19 calowy ekran, panel dotykowy do sterowania, pulpit sterowniczy z jasno opisanymi funkcjonalnościami pozwalają na szybką i skuteczną pracę.

Inteligentna archiwizacja danych

Wyposażenie gabinetu weterynaryjnego w ultrasonograf VINNO E10 VET daje możliwości łatwiejszej i dokładniejszej diagnozy. Dostępne funkcjonalności pozwalają na przechowywanie danych pacjentów i łatwy dostęp do nich. Doskonała łączność umożliwiają eksport wyników, w zależności od potrzeb przychodni.

Ustawienia weterynaryjne

Ultrasonograf weterynaryjny VINNO E10 ma możliwość dodania specjalnych presetów, ustawień weterynaryjnych, dostosowanymi do użytkownika oraz w dopasowaniu do wykonywanych badań. Pozwala to na jeszcze sprawniejszy przebieg badań.

Wysoka jakość obrazu

Rozwiązania zastosowane przez producenta ultrasonografów marki VINNO VET to funkcja wyróżniająca te urządzenia wśród konkurencji. Wykorzystane algorytmy pozwalają na jakość obrazu nie spotykaną w podobnych aparatach USG tej klasy. Możliwe jest to dzięki Platformie RF, standardowo dostępnej w ultrasonografach weterynaryjnych tej marki.

Ultrasonograf weterynaryjny VINNO E10 VET – dane techniczne:

  • 18.5-calowy monitor LED, który dostarcza obraz najwyższej jakości
  • 10-calowy, inteligentny panel do wygodnego zarządzania dostępnymi funkcjonalnościami
  • Innowacyjna platforma RF
  • Doppler fali pulsacyjnej PW oraz wielobramkowy Doppler fali pulsacyjnej HPRF
  • Automatyczne śledzenie PW/CW
  • Obrazowanie harmoniczne z odwróceniem fazy
  • VFusion (obrazowanie wielokierunkowe); VSpeckle (redukcja artefaktów, wyostrzenie obrazu)
  • Obrazowanie trapezoidalne
  • Obrazowanie w trybach: Color, Power, Directional Doppler
  • SGC (Scanning Gain Compensation)
  • Powiększenie obrazu/wyświetlenie w trybie pełnego ekranu
  • 4 porty USB
  • Drukarka video B/W
  • 2 proste, łatwo dostępne, bezpinowe gniazda do podłączania głowic
  • Obrazowanie 3D/4D
  • Automatyczna optymalizacja
  • Ustawienia indywidualne dla weterynarii „presets”
  • Raport weterynaryjny
  • Zintegrowany dysk twardy 500GB
  • Łączność: Bluetooth/WiFi/LAN
  • Pamięć sieciowa i drukowanie
  • Możliwość doboru różnorodnych głowic
  • Ruchomy wysięgnik dla wygody osoby przeprowadzającej badanie

Dodatkowe moduły VINNO E10 VET:

  • Tradycyjna klawiatura
  • Doppler tkankowy
  • TVI (Tissue Velocity Imaging)/TVM (Tissue Velocity M-mode)
  • Panel dotykowy do zarządzania trybami 3D/4D
  • Needle Enhancement
  • Obrazowanie panoramiczne
  • Obrazowanie w trybie M-mode
  • Obrazowanie tomograficzne Mcut
  • Tryb inwersji
  • Obrazowanie szerokopasmowe
  • DICOM 3.0
  • Zewnętrzne USB DVD-RW
  • Urządzenie w dwu wersjach: z dwoma portami na głowice i ramieniem bez możliwości regulacji oraz z 3 portami na głowice i ramieniem z możliwością regulacji
Rozmiar ekranu (cale): 19;
Ekran dotykowy (tak/nie): Tak
Brak akcesoriów
Brak materiałów dodatkowych

Nie wybrano pliku
Maksymalny rozmiar załącznika to 10MB.
Pole zgody na przetwarzanie danych osobowych jest wymagane.
Partner premium
VIKI-MED
41-902 Bytom, Sandomierska 9/18
Telefon: 691 971 912
E-mail: Wyślij wiadomość
Przedstawiciel:
Joanna Musik
1 produkt w ofercie
Oferta Wyślij zapytanie
Norax Medical Solution
02-871 Warszawa, ul. Karczunkowska 42
Telefon: 720 802 506
E-mail: Wyślij wiadomość
Przedstawiciel:
b/d
1 produkt w ofercie
Oferta Wyślij zapytanie
Partner premium
VIKI-MED
41-902 Bytom
Sandomierska 9/18
Telefon: 691 971 912
E-mail: Wyślij wiadomość
Przedstawiciel:
Joanna Musik
Serwisowani producenci (1): Vinno
Autoryzowany serwis