BTL Polska Sp. z o.o.
BTL Polska Sp. z o.o.
Adres: Leonidasa 49, 02-239 Warszawa
Telefon: 22 667 02 76
WWW: https://www.btlnet.pl/

Podgląd wizytówki
INTIMEX
INTIMEX sp. z o.o. sp. k.
Adres: Egejska 19/39, 02-764 Warszawa
Telefon: +48 22 6687465
WWW: https://intimex.com.pl/

Podgląd wizytówki
Mindray
Mindray Medical Poland
Adres: Cybernetyki 9, 02-677 Warszawa
Telefon: 22 463 80 80
WWW: www.mindray.com

Podgląd wizytówki
Dräger Polska
Dräger Polska Sp. z o.o.
Adres: Posag 7 Panien 1, 02-495 Warszawa
Telefon: 22 243 06 58
WWW: https://www.draeger.com/pl_pl/Home

Podgląd wizytówki
ENDOELEKTRONIK.PL SP. Z O.O. SP.K.
ENDOELEKTRONIK.PL SP. Z O.O. SP.K.
Adres: ul. Borkowa 12, 05-840 Brwinów
Telefon: 22 758 51 48
WWW: https://endoelektronik.pl/

Podgląd wizytówki
SONOSCAPE MEDICAL CORP.
SONOSCAPE MEDICAL CORP.
Adres: Guangming District, Guangdong, 518107 Shenzhen
Telefon: +48 784 894 276
WWW: www.sonoscape.com

Podgląd wizytówki
Intelimedical
Intelimedical Poland Sp. z o.o.
Adres: ul. Kasprowicza 4, 10-220 Olsztyn
Telefon: +48 22 599 42 23
WWW: https://intelimedical.pl/

Podgląd wizytówki

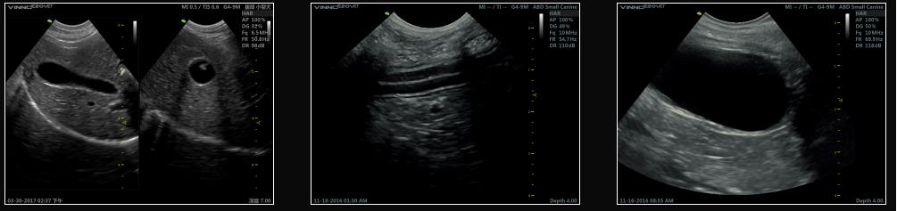
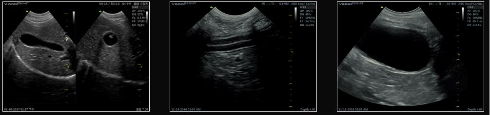
Vinno E20 VET


Vinno E20 VET

VINNO E20 VET

Ultrasonograf weterynaryjny do Twojej kliniki.

Cechy produktu:

  • stacjonarny, dopplerowski ultrasonograf weterynaryjny do wielu zastosowań klinicznych
  • szeroki wybór głowic obrazowych, w tym najmniejsza na rynku głowica sektorowo-fazowa do badania kotów, małych ssaków, zwierząt egzotycznych
  • superczuły 10-calowy panel dotykowy
  • nowoczesny kształt i ergonomia
  • technologia RF
  • tryb pełnoekranowy
  • szerokie możliwości post processingu obrazów, również w trybie dopplera

Dlaczego VINNO E20 VET to najlepszy wybór?

Vinno E20 VET to ultrasonograf weterynaryjny o zaawansowanych możliwościach diagnostycznych dostępnych w standardzie. Szeroki wybór głowic ultrasonograficznych, pozwalają na różnorodne badania diagnostyczne, w tym badania kardiologiczne. Możliwość rozbudowy systemu o dodatkowe funkcjonalności, sprawia, że stanowi on doskonałą inwestycję.

Najmniejsza na rynku głowica kardiologiczna

VINNO E20 VET to wysokiej klasy echokardiograf do zaawansowanych badań echo serca. Dzięki dostępności specjalnej głowicy sektorowo-fazowej o najmniejszym na rynku czole – szerokości jedynie 9.7 mm, o wysokiej częstotliwości, umożliwia badanie najmniejszych zwierząt towarzyszących, jak koty, małe ssaki, czy zwierzęta egzotyczne. Wymiary głowicy pozwalają na skrócenie czasu diagnozy i zwiększenie pewności diagnostycznej.

Szerszy zakres sygnałów

Ultrasonograf weterynaryjny VINNO 6 VET cechuje doskonała jakość wyświetlanego obrazu. W urządzeniu zastosowano innowacyjną platformę RF, która odczytuje szerszy zakres sygnałów. Wyświetlany obraz jest bardziej wyraźny i posiada wyższą, niż standardowo, rozdzielczość.

Tryb pełnoekranowy

Wyposażenie gabinetu weterynaryjnego w VINNO E20 VET daje możliwości łatwiejszej i dokładniejszej diagnozy.  Ultrasonograf weterynaryjny posiada tryb pełnoekranowy i daje możliwość obrazowania w wysokiej rozdzielczości. Obraz widoczny na ekranie urządzenia wolny jest od zniekształceń i pozwala wykryć podczas badania występowanie nawet małych zmian.

Ultrasonograf weterynaryjny VINNO E20 VET – dane techniczne:

  • 18.5-calowy ekran LED o dużej rozdzielczości
  • Superczuły 10-calowy panel dotykowy do wygodnego zarządzania funkcjonalnościami
  • Innowacyjna platforma RF
  • Doppler fali pulsacyjnej PW oraz wielobramkowy Doppler fali pulsacyjnej HPRF
  • Automatyczne śledzenie PW/CW
  • Doppler fali ciągłej CWD, Doppler tkankowy TD
  • Obrazowanie w trybach: Color, Power, Directional Doppler
  • Obrazowanie harmoniczne z odwróceniem fazy
  • VFusion (obrazowanie wielokierunkowe); VSpeckle (redukcja artefaktów, wyostrzenie obrazu)
  • Obrazowanie trapezoidalne
  • Automatyczne pomiary w trybach PW/CW
  • Tryb Triplex 2D B+CF w czasie jednoczesnym
  • Obrazowanie 3D/4D
  • Obrazowanie tomograficzne Mcut
  • SGC (Scanning Gain Compensation)
  • Funkcja EKG z 3 odprowadzeniami
  • Powiększenie obrazu/wyświetlenie w trybie pełnego ekranu
  • Doskonała łączność: Bluetooth/Wifi
  • Cicha praca
  • 4 porty USB
  • Drukarka video B/W
  • 3 łatwo dostępne porty na głowice
  • Dysk twardy 500 GB
  • Szeroki wybór dostępnych głowic obrazowych
  • Pamięć sieciowa i drukowanie

Dodatkowe moduły VINNO E20 VET:

  • Rozszerzone funkcje VSpeckle II
  • Obrazowanie panoramiczne
  • TVI (Tissue Velocity Imaging)/TVM (Tissue Velocity M-mode)
  • Needle Enhancement
  • Moduł DICOM 3.0
  • Zewnętrzne USB DVD-RW
Rozmiar ekranu (cale): 18,5;
Ekran dotykowy (tak/nie): Tak
Brak akcesoriów
Brak materiałów dodatkowych

Nie wybrano pliku
Maksymalny rozmiar załącznika to 10MB.
Pole zgody na przetwarzanie danych osobowych jest wymagane.
Partner premium
VIKI-MED
41-902 Bytom, Sandomierska 9/18
Telefon: 691 971 912
E-mail: Wyślij wiadomość
Przedstawiciel:
Joanna Musik
1 produkt w ofercie
Oferta Wyślij zapytanie
Norax Medical Solution
02-871 Warszawa, ul. Karczunkowska 42
Telefon: 720 802 506
E-mail: Wyślij wiadomość
Przedstawiciel:
b/d
1 produkt w ofercie
Oferta Wyślij zapytanie
Partner premium
VIKI-MED
41-902 Bytom
Sandomierska 9/18
Telefon: 691 971 912
E-mail: Wyślij wiadomość
Przedstawiciel:
Joanna Musik
Serwisowani producenci (1): Vinno
Autoryzowany serwis